
极目新闻通讯员熊婉婷张丽华正规实盘股票配资平台
摄影陈有为
21岁女孩下肢无力、行走困难,竟是肿瘤占据大脑“司令部”,并一路延伸至颈胸髓,手术风险极高,稍有不慎就可能导致肢体瘫痪,甚至危及生命。近日,华中科技大学同济医学院附属协和医院神经外科团队勇闯手术禁区,实施了高难度的延颈胸髓内长节段肿瘤切除术,为她摘除这颗长在生命中枢上的“定时炸弹”。据了解,患者术后恢复良好,于12月13日出院。

手术团队实施显微手术
一个月前,21岁的小婷(化名)突然出现右侧肢体无力、行走困难等症状,严重影响日常生活。在当地医院检查后,提示为“延颈髓内占位性病变”。由于肿瘤位置特殊,紧邻脑干、脊髓及重要血管结构,手术难度极大,小婷辗转多家医院就诊无果。经多方打听,11月23日,小婷来到协和医院就诊。
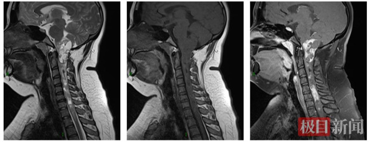
该院神经外科周迎春教授检查发现,小婷的肿瘤从脑干延髓一直向下生长至颈胸髓。要知道,延髓位于脑干下部,是控制呼吸心跳的“生命中枢”,各类神经和血管纵横交错,且肿瘤体积较大、串联生长(累及脑干-脊髓长度达15厘米,其中延髓的病灶大小约5厘米×4厘米×2厘米),导致周围脑干和脊髓组织严重受压,最窄的地方像纸片一样薄,在这样关键的解剖位置手术,犹如“刀尖起舞”,稍有不慎都有可能出现肢体瘫痪、呼吸心跳骤停等严重后果。但如不及时手术,任由肿瘤继续生长,持续压迫延颈髓,随时可能危及生命。
为了在切除肿瘤的同时最大限度保护神经功能,周迎春教授团队组织了多次术前讨论,制定了一套精准且个体化的综合治疗方案。手术核心潜在风险在于脑干受侵扰所带来的血流动力学紊乱、重要脏器灌注不足、神经传导束损伤造成呼吸肌麻痹、肢体瘫痪,以及随之而来的肺部感染、消化道出血、内环境紊乱等并发症。

术前MRI显示,病灶从延髓向下串联、延伸至胸1椎体水平
11月26日,在麻醉科、手术室、神经重症科等多学科的配合下,周迎春教授、朱文德副教授带领团队为小婷实施高难度手术。术中,在神经电生理监测下,专家们借助显微镜高倍放大术野,沉稳操作,分离肿瘤与周围血管及神经的粘连,经过近5小时显微操作,最终完整切除病变组织,小婷平稳地渡过手术难关,脑干和脊髓功能得到了最大限度的保留,术后并未出现呼吸肌麻痹和肢体瘫痪。病理结果提示,病灶为室管膜瘤(WHO2级),这是一种低度恶性肿瘤。

术后MRI显示,病灶完整切除,正常延髓受压菲薄
在医护团队的精心照护下,小婷逐步康复。小婷术后6小时自主呼吸恢复并脱离呼吸机(保留经鼻插管),术后第二天顺利拔除气管插管,确认吞咽、呛咳反射正常后便开始进食流质饮食,右侧肢体乏力等症状明显好转,一周左右便佩戴支具开始下床活动及康复锻炼。12月13日,小婷顺利出院。
周迎春教授指出,累及延颈胸髓的长节段室管膜瘤相对罕见,任其发展后果不堪设想,手术切除是目前最有效的治疗方法,不过手术风险较高,对术者及团队配合要求极其严格。专家提醒,脊髓内肿瘤病变通常比较隐匿,一旦出现四肢麻木、手脚无力、步态不稳等症状,要及时就诊,及早排查出潜藏的“定时炸弹”。
据悉正规实盘股票配资平台,武汉协和医院神经外科在国内较早建立脊柱脊髓亚专科,在复杂脊柱脊髓病变的显微外科治疗方面积累了丰富的经验,涉及退行性病变(颈椎病、腰椎病、椎管狭窄)、肿瘤性病变(神经鞘瘤、室管膜瘤、脊膜瘤)、发育/外伤/病理性畸形(小脑扁桃体下疝畸形、颅底凹陷/寰枢椎脱位、脊髓栓系)等。
天天优配提示:文章来自网络,不代表本站观点。